 
                ASSEMBLYNET AD : Software to automatically detect/predict dementia in a t1w brain MRI and to provide a report containing two scores based on structure grading and structure atrophy.
 
                            Domaine Santé et Bien-être
                                    Technologies
                                    Technologies d'imagerie pour la santé
Exploitation numérique des données de santé
                                
Challenges
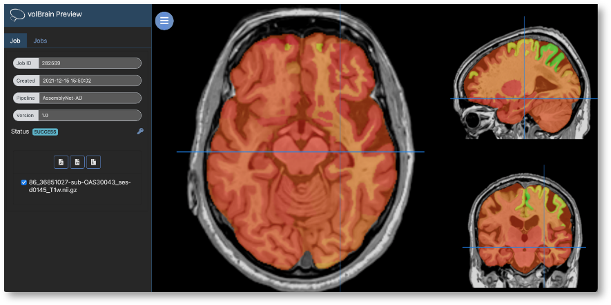
AssemblyNet-AD is a deep learning-based segmentation tool that is able to automatically detect dementia signature (Alzheimer’s Disease (AD) and Fronto-temporal dementia FTD) in a T1w MRI. Dementia detection is based on 2 different types of features: grading of all the brain structures and atrophy of key structures (hippocampus, amygdala and inferior lateral ventricles). To obtain a score for each feature, a collective artificial intelligence framework is used for the grading and multiple lifespan models are used for the atrophy. AssemblyNet-AD is integrated within the web-service volBrain. First, the user provides a 3D T1 MRI to the system. The system will first preprocess the image (denoising, inhomogeneity correction, registration) and then will segment brain structure and finally will estimate score for grading over the brain and atrophy of key structures. After few minutes, the results are sent back to the user by email. This email contains a report as pdf and csv files with scores of having dementia (AD or FTD). Moreover, the pdf file provides screenshots to enable a fast and efficient quality control by the user.
Innovative solution
AssemblyNet-AD is a pipeline designed to automatically detect/predict dementia in a T1w brain MRI. It gets an anonymized MRI brain volume in NIFTI format and produces a pdf report containing two scores based on structure grading and structure atrophy.
APPLICATIONS
- 
Clinical trials 
- 
Companion diagnostics 
- 
Clinical routine 
COMPETITIVES ADVANTAGES
- 
No need of learning complex software packages 
- 
No need having expensive computational infrastructures in your local site 
- 
Faster and more accurate than other solutions 
- 
AssemblyNet works in a fully automatic manner and is able to provide brain structure volumes without any human interaction 
- 
Two reports (CSV and PDF) providing all the volumetry values calculated from the segmentations as well as asymmetry indexes 
How it works
Grading Score: First, AssemblyNet-AD produces a grading score based on deep learning models trained to discriminate Alzheimer's disease (AD) signature. The grading map provides a score for each structure that reflects the similarity of the subject under study to a population with dementia (i.e., if the T1w MRI content presents AD-like patterns).

Atrophy Score: Second, AssemblyNet-AD produces an atrophy score called HAVAs based on lifespan modelling score. Using the volumes of hippocampus, amygdala and inferior lateral ventricle, HAVAs estimates the probability that the subject under study is closer to AD lifespan model than control lifespan model.
Once the process is finished you will be notified by e-mail so you will be able to download a package including some image files and two (CSV and PDF) reports gathering all the dementia scores values calculated.

Inventeurs
Developed by Pierrick COUPÉ (LaBRI - université de Bordeaux, CNRS, Bordeaux INP) & Jose Vicente MANJON HERRERA (Universitat Politècnica de València)
Propriété intellectuelle
Software registered with the Program Protection Agency APP
PARTERSHIPS
License to companies providing :
- Global healthcare solutions
- Diagnostic medical imaging solutions
- Medical imaging equipment
Contact
Liêm HUYNH VAN
%6c%2e%68%75%79%6e%68%76%61%6e%40%61%73%74%2d%69%6e%6e%6f%76%61%74%69%6f%6e%73%2e%63%6f%6d
+33 (0)7 64 74 47 00
ASSOCIATED INNOVATIONS
- VolBrain A software to analyze MRI brain data. It provides a report including volume information on brain structures.
- CERES : A software to automatically analyze the cerebellum in brain MRI to provide a report including volume information on different aspects of the cerebellum
- pBrain : A software providing Parkinson’s disease related deep nucleus segmentation (Substantia Nigra locus niger), Red Nucleus and Subthalamic nucleus) using T2w MR images.
- HIPS : A software providing hippocampus subfield segmentation based on two different delineation protocols using both monomodal (T1w) and multimodal (T1w and T2w) MR images.
- LesionBrain : A software providing IC extraction, brain tissue classification and delineation/ classification of white matter hyperintense lesions using T1w and FLAIR MR images.
- 
DeepLesionBrain: A software to automatically segment white matter lesions from MRI data and to provide a report with the volumes of the lesions and their locations 
- AssemblyNet : A software providing segmentation of the intracranial cavity, brain tissues (WM, subcortical GM, cortical GM, CSF), cortical lobes, cortical and subcortical structures using a T1w MR image.
MORE…
AssemblyNet is available on : www.volbrain.net
 
                                 
                                         
                                         
                                         
                                         
                                         
                                         
                                         
                                         
                                         
                                         
                                         
                                         
                                         
                                         
                                         
                                         
                                         
                                         
                                         
                                         
                                         
                                         
                                         
                                         
                                         
                                         
                                         
                                         
                                         
                                         
                                         
                                         
                                         
                                        